twitter Tweet

AI correctly diagnoses vision-threatening condition in babies in India

Results indicate algorithm may not have racial bias found in other artificial intelligence technologies
A brown-skinned infant receiving an eye exam, doctor's hand holds a light up and illuminates infant's left eye.
An artificial intelligence technology that has already been shown to accurately detect a blindness-causing condition in premature babies in the United States also works in India, according to new research published in the journal Pediatrics. The study indicates the eye disease-identifying algorithm may not have the racial bias thats often found in other artificial intelligence technologies. (Getty Images)

An artificial intelligence technology that has already been shown to accurately detect a blindness-causing condition in premature babies in the United States also works in India, according to new research.

The study, published in the journal Pediatrics, indicates the eye disease-identifying algorithm may not have the racial bias that’s often found in other artificial intelligence technologies.

Called the i-ROP DL system, the algorithm diagnoses retinopathy of prematurity, or ROP. Oregon Health & Science University and Massachusetts General Hospital led the technology’s development, with support from Northeastern University and the University of Illinois at Chicago as well as the Imaging & Informatics in ROP (i-ROP) consortium.

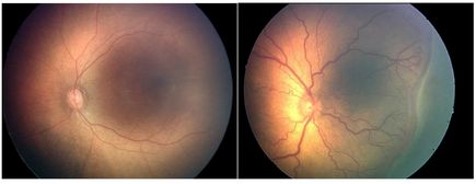
Two close-up images of a human eye, set side-by-side, show two opaque, black-lit orbs that have red vessels growing throughout. The eye image to the right has more pronounced vessels, as would be found for those with the condition retinopathy of prematurity.
ROP can be diagnosed by examining the vessels of the retina at the back of eyes. Shown here are two such images: one of a normal eye (left) and another of an eye with twisted and dilated retinal vessels, which indicates ROP. OHSU and Massachusetts General Hospital have developed an artificial intelligence-based algorithm that more accurately diagnosed ROP in images such as these than most of the eight expert physicians involved in the study. (OHSU/Michael Chiang)

Retinopathy of prematurity causes abnormal blood vessel growth near the retina, the light-sensitive portion in the back of an eye. ROP develops when preemies are given high oxygen levels needed to sustain them after birth. As a result, hospitals often carefully measure oxygen levels near each neonatal bed. About 20,000 babies go blind worldwide due to ROP annually, the majority of whom live in low- and middle-income countries where the disease is more common and there are fewer trained ophthalmologists who can screen for it.

The algorithm diagnoses the condition in images of infant eyes with comparable or better accuracy than expertly trained ophthalmologists. Using images of baby eyes from the U.S., a 2018 study in JAMA Ophthalmology showed the technology diagnosed the condition 91% of the time.

In the new study, the algorithm’s developers evaluated its accuracy while reviewing 1,253 eye exams from an ROP telemedicine program in India. When the artificial intelligence technology was optimized for sensitivity, it correctly identified 100% of severe cases that required treatment.

A smiling man with short hair wears a dark suit jacket and tie while standing in front of greenery.
Peter Campbell, M.D., M.P.H

The algorithm uses a two-step process that may help counteract the racial bias that can be found in other artificial intelligence technologies, says the study’s lead author, Peter Campbell, M.D., M.P.H., an associate professor of ophthalmology in the OHSU School of Medicine and retina specialist at the OHSU Casey Eye Institute.

First, the i-ROP DL system identifies blood vessel patterns in the original eye image and turns the image into a black-and-white blood vessel map. This reduces ethnicity-related differences in retinal image appearance. Next, the system analyzes the second image to detect ROP.

While more research is needed to demonstrate this technology can be safely and effectively used in clinics, Campbell says this is the first step in realizing the potential for AI to reduce blindness from ROP.

OHSU and MGH have licensed the technology to Boston AI Labs, in the hope that it will be used by ophthalmologists and neonatologists worldwide to better diagnose and treat retinopathy of prematurity. Currently, especially trained physicians manually review eye images for the condition’s tell-tale signs: twisted and dilated retinal vessels.

The system was also granted breakthrough status by the FDA in 2020. Breakthrough status could accelerate its development and potential FDA approval for use in patient care.

This research was supported the National Institutes of Health (grants R01EY19474, K12EY027720, P30EY10572), Research to Prevent Blindness (Career Development Award), Oregon Health & Science University, and U.S. AID (Child Blindness Prevention Program).

In the interest of ensuring the integrity of our research and as part of our commitment to public transparency, OHSU actively regulates, tracks and manages relationships that our researchers may hold with entities outside of OHSU. The technology has been licensed for commercial development, which may result in royalties to Massachusetts General Hospital, Oregon Health & Science University, and Jayashree Kalpathy-Cramer. Review details of OHSU's conflict of interest program to find out more about how we manage these business relationships.

REFERENCE: J. Peter Campbell, Praveer Singh, Travis K. Redd, James M. Brown, Parag K. Shah, Prema Subramanian, Renu Rajan, Nita Valikodath, Emily Cole, Susan Ostmo, R.V. Paul Chan, Narendran Venkatapathy, Michael F. Chiang and Jayashree Kalpathy-Cramer, “Applications of Artificial Intelligence for Retinopathy of Prematurity Screening,” Pediatrics, March 2021, https://doi.org/10.1542/peds.2020-016618

Previous Story Study suggests role of sleep in healing traumatic brain injuries Next Story Black patients using Medicare are less likely to receive joint replacement services, study finds
Facebook Twitter LinkedIn YouTube Instagram OHSU Braille services OHSU sign language services OHSU interpreter services X