
On any given day, you can find Jeffrey Jensen, M.D., M.P.H., caring for patients, writing NIH grants, teaching medical students or looking at the latest test results in his lab at the Oregon National Primate Research Center. But what gets him up every morning is his commitment to making birth control safer and more effective for women around the world.
“I’m a scientist because I believe in empowering women by providing family planning services that leave the decision on the desired number of children to themselves,” says Jensen. “This improves the health and lives of women, children and men throughout the world.”
The World Health Organization estimates that about 225 million women in developing countries would like to delay or stop childbearing but are not using any method of contraception.
While a number of highly effective and reversible contraceptives exist, all of the approaches to permanent contraception require surgery. This can be costly without insurance and may not be accessible or safe, especially to women in low-resource regions of the world. Jensen’s lab is working to develop a low-cost, safe, and highly effective method of nonsurgical permanent contraception that will meet the needs of women in low-resource regions, but also be of interest to women in the United States and other resource-rich countries.
“When women have completed their family size, or wish to not have children, many prefer a noninvasive, effective and permanent form of birth control,” says Jensen. “Particularly in low-resource settings where there is no choice but to continue bearing children, women benefit greatly from a safer form of permanent contraception.”
Patient care drives Jensen’s research
Jensen’s research has been driven by his experience in taking care of women in the clinic. The majority of women in the U.S. who are accessing permanent contraception are either currently married (29 percent) or formerly married (58 percent). This suggests women prefer permanent contraception when they have completed their family size.
A low-cost, office-based approach for nonsurgical permanent contraception would simplify access to permanent contraception for U.S. women.
“Many of the patients I see have had good success with reversible contraception methods, but still desire a permanent method,” says Jensen. “But this requires, at a minimum, one counseling visit, one pre-operative visit and one half-day in the day surgical unit or procedure room. The inconvenience and time burden for my patients provides a strong motivation for me to come up with a better approach.”
Jensen strongly believes that the approach to permanent contraception should be the same for women in lesser developed and more developed nations. To be acceptable in regions with low resources, like sub-Saharan Africa, women and health care providers need to know that a method is safe and well-accepted by well-to-do women in resource-rich nations, he says.
“A highly effective nonsurgical approach could become the preferred office-based method of permanent contraception for women in highly developed economies like the United States. The convenience would be similar to an office visit for placement of an IUD,” says Jensen.
Contraception requires science
With a grant from the Bill & Melinda Gates Foundation, Jensen launched the Oregon Permanent Contraception Research Center at the Oregon National Primate Research Center.
His team is taking a different approach from other permanent contraception options, using polidocanol foam, an FDA-approved treatment for varicose veins, as a non-invasive, non-hormonal form of permanent contraception.
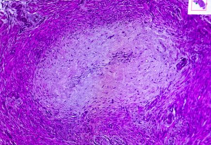
Using an animal model (female baboons), his research showed that administration of a single dose of polidocanal foam transcervically (similar to placement of an IUD) resulted in a high rate of tubal occlusion with prevention of pregnancy in most of the treated baboons. None of the females treated with 5 percent polidocanol foam became pregnant during six months of follow-up, and microscopic evaluation of the tubes showed scarring.
Jensen’s team uses a nonhuman primate model because they share common anatomic features and reproductive physiology with women. In particular, the fallopian tubes in primates pass through the thick muscular uterine wall. This feature is not present in non-primates.
Big science takes money
Jensen’s work has been funded through the philanthropic generosity of the Bill & Melinda Gates Foundation. But because he is learning from an animal model, his work also relies heavily on the ONPRC which is heavily supported by National Institutes of Health funding.
“The majority of my life’s work has been funded by the NIH,” Jensen emphasizes. “The current administration threatens to greatly reduce NIH funding, threatening my research program in reversible contraception. Fortunately, global leaders like the Gates Foundation recognize the core importance of family planning as a pillar of effective human development. But we can’t depend solely on philanthropic funding.”
When asked about how others can follow in his path, he says, “Becoming a physician provides the opportunity for clinical care and participation in research. Stay open to opportunity and think big. To attract support, you must transmit a realistic vision of the possible to funders.”
Women can participate in clinical trials at the Women’s Health Research Unit, which conducts studies in all major areas of women’s health, including family planning, incontinence, menstrual bleeding disorders, infertility, endometriosis, fibroid tumors, obstetrics and female cancers.